前歯部にジルコニアセラミックブリッジで審美修復したケース
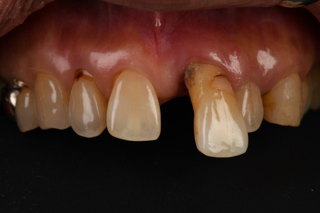
before

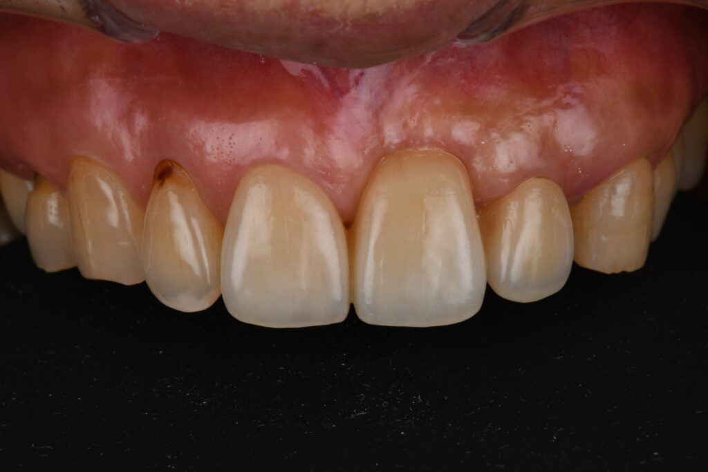
after

前歯の見た目が気になるということでいらっしゃった患者様になります。
左上の中切歯は重度歯周炎で揺れも大きくやむなく抜歯となりました。
患者様と相談の上、歯を失ってしまった部分はブリッジ(FPD)にて補填することとなりました。
通常、抜歯した部分は骨のボリュームが減ってしまい、歯茎が凹んだ状態で治ります。特に今回のように歯周炎で大きくダメージを負ってしまった場所はさらにおおきな凹みになります。そのため今回は抜歯した部位を「歯槽堤温存術」という方法で抜歯した部位のボリュームを極力減らさないように対処しました。抜歯した部位の穴にサイトランスグラニュールと呼ばれる人工骨を入れ込み、さらにテルプラグという吸収性のコラーゲンのスポンジで蓋をします。
数ヶ月経過してくると抜歯した部分の回復が見られたら最終的なブリッジの準備に入ります。仮歯にて歯の形を煮詰め、歯茎の形をしっかり整えてから最終的な被せ物にその情報を移行させてブリッジが完成となります。
前歯のセラミック修復は特に見た目が大事な部分ですので、たくさんのことを考え治療をしていかないとなりません。患者様も元の状態と比較してとても満足して喜んでいただくことができました。前歯のことでお悩みであれば、一度当院でご相談いただければと思います。
| 主訴 | 前歯の見た目が気になる |
| 治療内容 | 残すのが難しい歯の抜歯(抜歯時には歯槽堤温存術) 抜歯した部分の治癒が認められたらブリッジにて歯を失った部分を補填した |
| 患者様の年齢 | |
| 患者様の性別 | 女性 |
| 治療期間 | |
| 治療費 | |
| 治療で得られるメリット | 審美的な回復 失ってしまった部分の歯の補填 |
| 治療する際に起こるリスク・副作用 | ブリッジをすることで両隣の健康な歯を削ってしまう |
